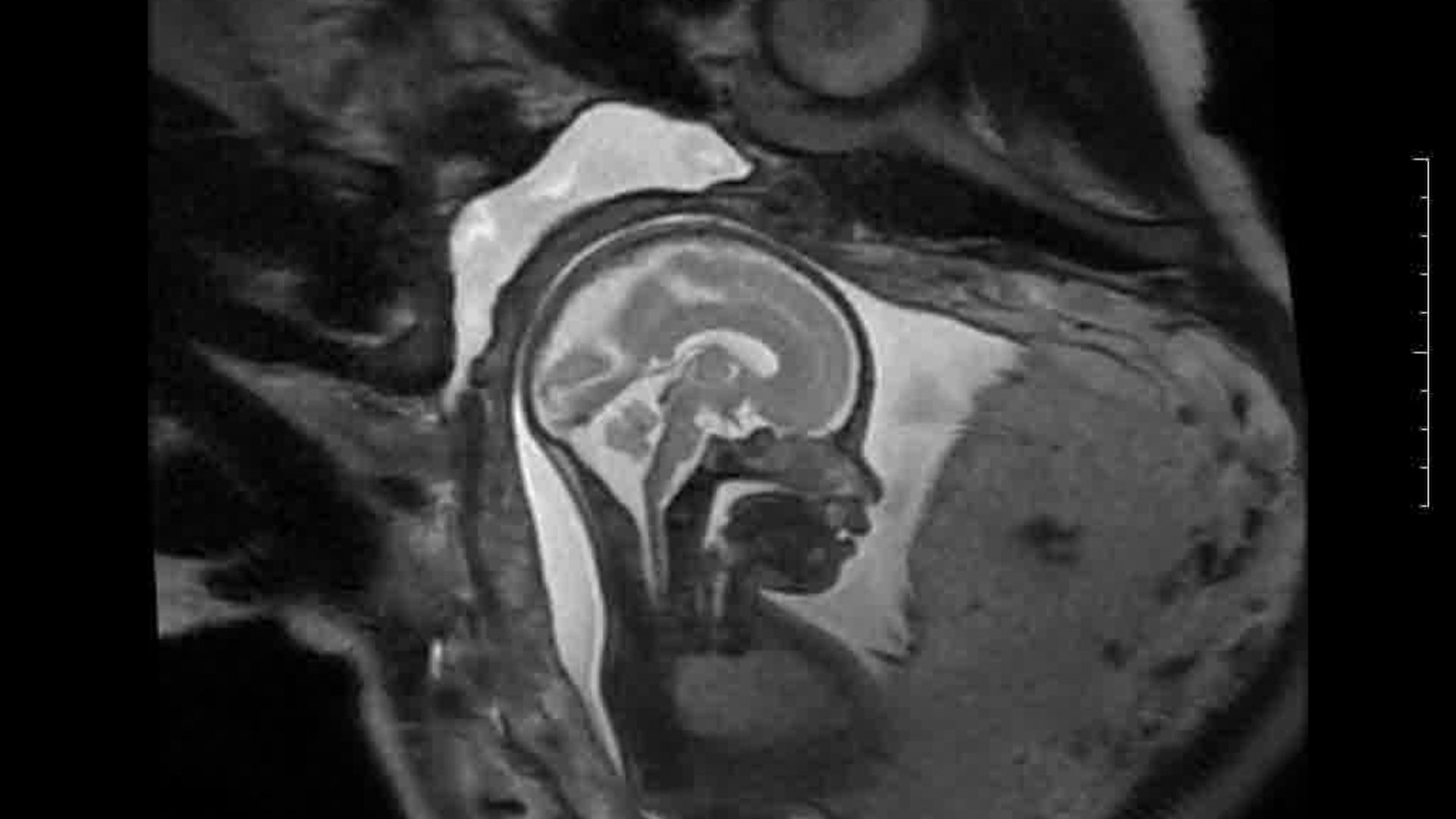
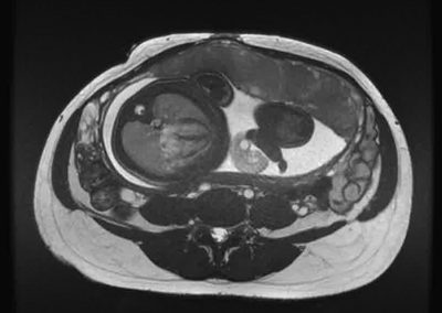
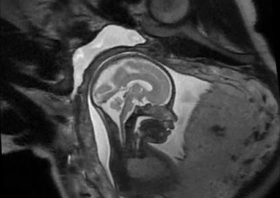
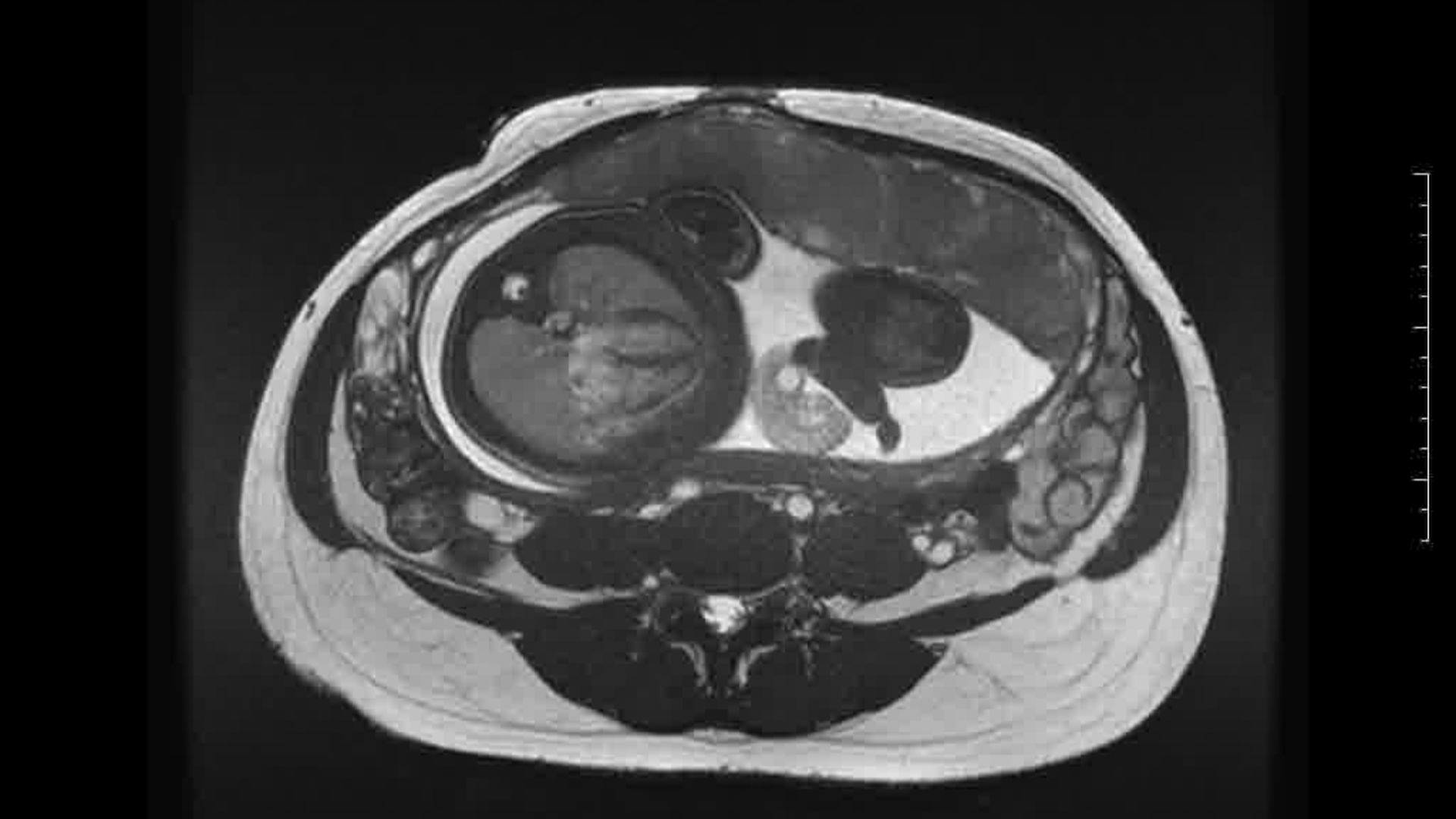
L’Université Paris Cité franchit une nouvelle étape dans le domaine de l’imagerie médicale anténatale avec l’acquisition d’un système d’Imagerie par Résonance Magnétique (IRM) 1,5T ARTIST™ de GE HealthCare. Cet équipement de pointe renforce les capacités de la Plateforme LUMIERE à l’hôpital Necker-Enfants malades, plateforme intégrée de soins, de recherche clinique et d’enseignement en imagerie médicale de la femme enceinte, du fœtus et du placenta.
© Fondation LUMIERE
Une avancée technologique majeure pour la recherche anténatale
L’acquisition de cette nouvelle IRM s’inscrit dans le cadre du protocole de recherche « LUMIERE SUR LE FETUS », dont les objectifs sont d’améliorer la prise en charge des pathologies anténatales, d’affiner leur pronostic et de contribuer à la réduction de la morbidité et de la mortalité à court, moyen et long terme. Cette acquisition a été rendue possible grâce au don exceptionnel de la Fondation LUMIERE d’un montant de 250k euros ainsi qu’au soutien de l’Université Paris Cité à hauteur de 670k euros.
Implantée à l’hôpital Necker-Enfants malades, la Plateforme LUMIERE est une plateforme unique au monde, qui a vu le jour grâce notamment au soutien de l’Université Paris Cité, de l’AP-HP et de la Fondation LUMIERE.
Une plateforme au service de la recherche et des patientes enceintes
Depuis 2020, la Plateforme LUMIERE offre aux femmes enceintes volontaires, entre 16 et 36 semaines d’aménorrhée et suivies à l’hôpital Necker-Enfants malades, la possibilité de participer activement à l’avancée de la recherche en médecine fœtale, tout en bénéficiant d’une IRM fœtale au cours de leur grossesse, réalisée dans un cadre sécurisé et encadré.
L’inclusion de ces patientes, depuis leur accueil jusqu’à la réalisation des examens d’imagerie, puis l’analyse des images et l’interprétation des résultats par des équipes expertes, enrichit une base de données structurée, unique au monde, au service de la recherche et de l’innovation en imagerie anténatale et en médecine fœtale.
Un soutien à la formation et à l’innovation scientifique
La Plateforme LUMIERE accueille chaque année plusieurs jeunes chercheurs (masters, doctorants et post-doctorants). Leurs travaux de recherche visent, à terme, à améliorer le diagnostic et le pronostic des pathologies anténatales, afin de mieux anticiper et optimiser la prise en charge des nouveau-nés. Ces travaux ont déjà mené à des communications et des publications scientifiques dans des revues à comité de lecture.
En soutenant des vocations scientifiques et en accompagnant celles et ceux qui construisent la recherche de demain, la Plateforme LUMIERE contribue activement à l’enrichissement des connaissances sur le développement fœtal et placentaire.
Avec l’intégration de ce nouvel équipement IRM de dernière génération au sein de la Plateforme LUMIERE, l’Université Paris Cité réaffirme son engagement en faveur d’une recherche d’excellence, au service de l’innovation médicale, de la formation et de l’amélioration de la santé maternelle et néonatale.
À lire aussi
Retour sur une cérémonie des vœux placée sous le signe de l’engagement et du renouveau
Mardi 20 janvier, la Faculté de Santé a réuni sa communauté à l’occasion de la cérémonie des vœux 2026. Cet événement a permis de revenir sur une année riche en avancées, tout en célébrant deux moments marquants : la remise des Palmes académiques à Christelle Colnée...
Bon usage des antibiotiques dans les pays à revenu faible ou intermédiaire : un séminaire international pour relever un défi de santé mondiale
Du 12 au 14 janvier 2026, un séminaire en ligne sur le bon usage des antibiotiques (BUA) dans les pays à revenu faible ou intermédiaire (PRFI) a réuni plus de 400 experts, médecins, praticiens et chercheurs, travaillant en majorité dans des pays africains autour des...
Rendez-vous aux JPO 2026 de l’Université Paris Cité
Lycéennes, lycéens, futures étudiantes, futurs étudiants, étudiantes et étudiants, vous avez rendez-vous avec votre avenir ! Pour découvrir l’ensemble de nos formations post-bac à bac +5, participez à nos Journées Portes Ouvertes, à partir du 7 février 2026. Lorem...
Additifs conservateurs : de nouvelles associations avec le risque de cancer et de diabète de type 2
Deux nouvelles études issues de la cohorte NutriNet-Santé mettent en évidence une association entre une consommation plus élevée d’additifs alimentaires conservateurs et une augmentation du risque de cancer et de diabète de type 2. Ces travaux ont été menés par...